Facebook Instagram You Tube LinkedIn
Institute

Radiologie

Behandlungsangebote

Magnetresonanztomografie

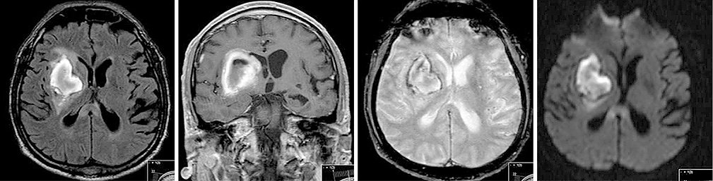
Das MRT wird in der modernen Medizin immer wichtiger, da diese Bildgebung ohne Röntgenstrahlen auskommt und eine sehr gute Option ist, weichteildichte Strukturen mit gutem Kontrast darzustellen. Es muss hier wesentlich unterschieden werden bezüglich der Feldstärke. Während die meisten Systeme heutzutage immer noch 1.5 T basiert sind und niedrigere Feldstärken aufgrund der dann schlechteren Bildqualität immer mehr im Alltag verschwinden, wird in unserer Abteilung zusätzlich das modernste 3 Tesla- MRT-Gerät in Thüringen betrieben. Besonders vorteilhaft ist dieses Gerät in der Beurteilung des Oberbauchs über eine spezielle Technik, die auch die Untersuchungsdauer verkürzt (sog. M-Dixon), aber auch die Beurteilung des Hirns, der Gelenke sowie der Vorsteherdrüse ist qualitativ durch kein anderes Gerät erreichbar. Andere Bildgebungen sind mit 3 Tesla vergleichbar zum ebenfalls auf modernstem Niveau befindlichen 1,5 T System. Im Bereich MRT haben wir in Nord- und Westthüringen in zahlreichen Bereichen besondere Behandlungsschwerpunkte und bieten Untersuchungen an, die sonst weder ambulant noch stationär angeboten werden. Dazu gehört das Prostata-MRT, die Analyse der stofflichen Zusammensetzungen eines Befundes im Kopf über die sog. Spektroskopie, die Darstellung der Nervenbahnen über die sog. Diffusionstensorbildgebung im Hirn, die Erstellung von Ganzkörperaufnahmen in nur 3mm Schichtdicke. Aber auch das Herz-MRT ist durch uns zertifziert hochqualifiziert möglich. Nach aktuellem Stand (5/2013) führt die Radiologieabteilung des Südharzklinikums in Deutschland unter allen Radiologien die achtmeisten registrierten und zertifizierten Herz-MRT durch, nach der Universität Jena die meisten Mamma-MRT in Thüringen. Wir sind europäisches Referenzzentrum für Ganzkörper-MRT und Prostata-MRT und haben über zahlreiche MR-Themen in unterschiedlichen Kongressen publiziert. Die MR-defäkographie kann bei Beckenbodenproblemen sehr hilfreich sein und wird bei uns seit Jahren erfolgreich angewandt. Unser Untersuchungskonzept wurde hier von der Europäischen Röntgengesellschaft als Veröffentlichung für die Ausbildung von Radiologen in ganz Europa angenommen.

Für die Patienten ist außerdem wichtig, dass die „Röhre“ einen deutlich weiteren Durchmesser aufweist und kürzer ist als andere Systeme, außerdem ein spezielles Lichtkonzept für eine angenehme Untersuchung sorgt, dass die meisten Untersuchungen weniger lang dauern als bislang.

Kontraindikationen für ein MRT sind derzeit: das Tragen eines Herzschrittmacher oder Defibrillators, eingebrachte metallische Splitter sowie manche großflächige Tätowierungen mit insbesondere roter Farbe. Die genauen anamnestischen Fragen sind dem Aufklärungsbogen zu entnehmen, die Untersuchbarkeit wird dann von einem Radiologen geprüft. Wir führen um die 10000 MR-Untersuchungen im Jahr durch.

Die wichtigsten Interventionen sind die MR-gestütze Biopsie von Brusttumoren (die man mitunter nur im MRT sieht) und die Biopsie der Vorsteherdrüse (insbesondere bei Patienten, die schon eine negative Biopsie im Ultraschall hinter sich haben). Über die Ergebnisse der Prostatabiopsien unter MR-Führung haben wir als radiologisches Team schon auf zahlreichen Kongressen, u.a. Chicago, Toronto, Wien, Lissabon und Brüssel berichtet.

Technische Ausstattung

  • Philips MR Ingenia 1.5T
  • Philips MR Ingenia 3T
  • CAD-Systeme
    (DynaCAD zur computerassistierten Analyse von Mamma- und Prostatadatensätzen und Interventionsplanung)
MRT mit Ambilight-System (Foto: SHK) MRT mit Ambilight-System (Foto: SHK)
Philips Ingenia 1,5T MRT (Foto: SHK) Philips Ingenia 1,5T MRT (Foto: SHK)
Philips Ingenia 3T MRT (Foto: SHK) Philips Ingenia 3T MRT (Foto: SHK)
MRT Intera-Achiva