Facebook Instagram You Tube LinkedIn
Institute

Radiologie

Behandlungsangebote

Mammografie

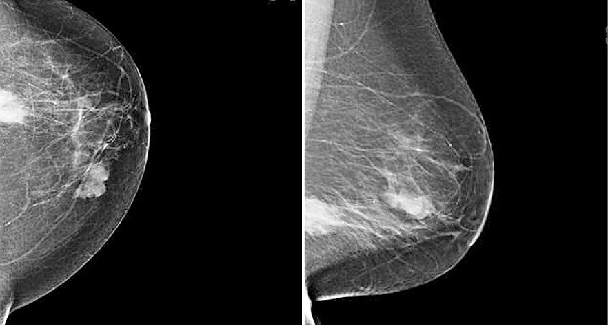
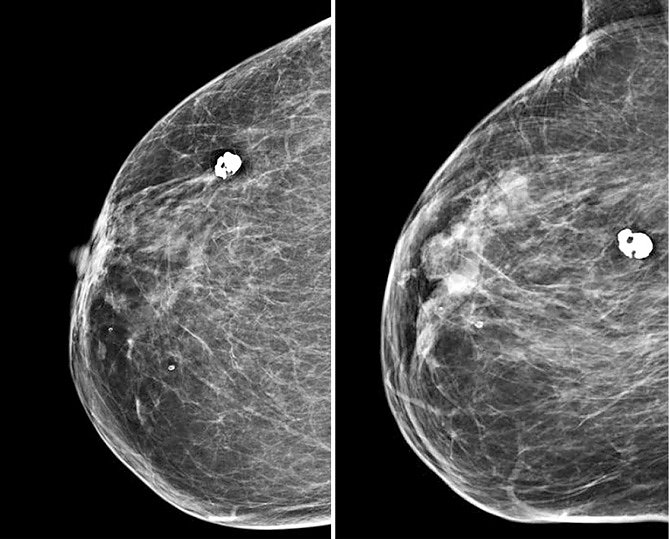
Die Mammografie ist ein Röntgenverfahren, das unter der Nutzung der charakteristischen Strahlung Schwächungsbilder der Brustdrüse erstellt, was üblicherweise in 2 Ebenen erfolgt (sog. CC und MLO-Aufnahme). Die Nutzung direkt-digitaler Systeme ermöglicht hier eine substantielle Reduktion der Strahlendosis von bis zu 40% im Vergleich zu Geräten, die erst im Nachgang ein digitales Bild erstellen oder analog verbleiben. Wir haben ein selenbasiertes Mammografiegerät in der Anwendung als einzigem entsprechend hochwertigen System in Nordthüringen und können so sehr dosissparend arbeiten. Außerdem sind bei uns 4 Röntgenassistenten nach entsprechenden Kursen als Mammafach-MTRA zertifiziert. Wir sind Partner verschiedener Brustzentren und führen im Jahr ca. 1500-2000 Mammografien durch im stationären und ambulanten Bereich. Alle Frauen mit einem Überweisungsschein und einer entsprechenden Indikation (beispielsweise einem Tastbefund oder einseitigen Schmerzen). Ein Mammakarzinom kann als Verdichtung strahlenförmig imponieren, aber auch als vielgestaltig gruppierter Mikrokalk (polymorpher Mikrokalkcluster) sowie in seltenen Fällen als Architekturstörung (siehe Beispielbilder). Ergänzend zu einer Befundung durch 2 Radiologen werden bei uns auch computerunterstützende Systeme verwandt, um eine zusätzliche Analysemöglichkeit zu entwickeln. Über diese Problematik wurden schon zahlreiche Publikationen von Prof. Malich verfasst.

Notwendiges Equipment für die stereotaktische Biopsie mit Biopsieeinheit (Foto: SHK) Notwendiges Equipment für die stereotaktische Biopsie mit Biopsieeinheit (Foto: SHK) Notwendiges Equipment für die stereotaktische Biopsie mit Biopsieeinheit




Techniche Ausstattung

  • Direkt-digitale Mammographie Hologic Selenia Dimensions
  • Prone table Stereotaxie Lorad MultiCare Platinum
  • Surosbiopsieeinheit
  • Biovision für Prapärateradiographie
  • CAD-Mammografie R2
Mammographie Holgic Selenia Dimensions (Foto: SHK) Mammographie Holgic Selenia Dimensions (Foto: SHK)